Cabinet d'orthodontie exclusive des drs Florian PLAISANCE et Elodie GILOT
Chirurgiens dentistes, exclusifs orthodontie et ODF à Orange(VAUCLUSE - 84)
Accueil
Le cabinet
Equipe soignante
Plan d'accès
Urgences
Fiches Conseils
Vidéos
Téléchargements
Demande de RDV
Contact
English
Accueil
Le cabinet
Equipe soignante
Plan d'accès
Urgences
Fiches Conseils
Vidéos
Téléchargements
Demande de RDV
Contact
English
Cabinet d'orthodontie exclusive des drs Florian PLAISANCE et Elodie GILOT
85, avenue Frédéric Mistral
84100
ORANGE
Chirurgiens dentistes, exclusifs orthodontie et ODF à Orange(VAUCLUSE - 84)
+33490111020
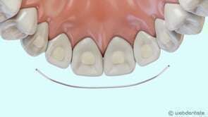
Fil de contention
Vidéos 3D
Partager
Twitter
Partager
Partager
Envoyer
Copier
Cabinet d'orthodontie exclusive des Drs Florian PLAISANCE et Elodie GILOT
85, avenue Frédéric Mistral
84100
ORANGE
+33490111020
Politique de confidentialité et charte cookie
Mentions légales
Conditions Générales Utilisation
Charte déontologique
Ordre national
Annuaires chirurgiens dentistes
Hygiène & Asepsie
Honoraires & Remboursement
Création par
Connexion